腰痛のレントゲン

フローレンス法の治療方法

フローレンス法の効果

フローレンス法でスペーサーを挿入することにより、狭くなっていた脊柱管が拡大され、神経の圧迫が消失して、腰痛や間欠性跛行などの症状の改善が期待できます。
1~2㎝の切開で経皮的に行われるため、背骨の安定を図る靭帯が損傷せず温存します。それ故に、スペーサーがずれることなく、背骨の不安定性を軽減できます。
スペーサーの挿入により、狭くなっていた脊柱管が拡大されるだけでなく、椎間孔の平均面積も増加します。*1

*1 参照元:Luca Jacopo Pavan, et al. Clinical and radiological outcomes following insertion of a novel removable percutaneous interspinous process spacer: an initial experience. Spinal Neuroradiology. 64(9), 2022.

フローレンス法の治療方法

フローレンス法は、局所麻酔+静脈麻酔下でX線透視装置を使用しながら、腰の側面を1~2㎝程切開し、治療する腰椎の棘突起の間に専用の器具を挿入します。
専用の器具を通して、スペーサーを挿入し、狭くなった脊柱管を広げます。棘突起間にスペーサーが入ったら、羽根を開けて棘突起間に固定します。

  • 治療前

    フローレンス法の治療方法1

    変性した椎間板や肥厚した黄色靭帯によって脊柱管が圧迫されている状態

  • 治療

    フローレンス法の治療方法2

    棘突起間にスペーサーを挿入することで肥厚した黄色靭帯などが伸ばされ脊柱管が拡がる

  • 治療後

    フローレンス法の治療方法3

    スペーサーの羽を拡げることで
    棘突起間に固定する

  • 治療後のレントゲン画像

    フローレンス法の治療方法4

    狭くなっていた脊柱管が拡がると、腰や下肢の痛み・
    痺れなどの症状緩和が期待できる

従来の外科的手術では、骨を削ったり靭帯などを切除したり、場合によっては脊椎を固定したりすることで症状を緩和させていますが、リスクが高く、高い再発率となっています。
手術後の再手術率は、2年以内に8%、10年以内に23%とされています。*1

*1 参照元:James N. Weinstein, et al. Surgical versus Nonsurgical Therapy for Lumbar Spinal Stenosis. The New-England Medical Review and Journal, 358(8), 2008. Steven J Atlas, et al. Long-Term Outcomes of Surgical and Nonsurgical Management of Lumbar Spinal Stenosis: 8 to 10 Year Results from the Maine Lumbar Spine Study. Spine, 30(8), 2005.

フローレンス法と
従来の外科的手術の比較
フローレンス法 椎弓切除術
脊椎固定術
骨・靭帯などへの影響 なし あり
治療時間 約30分
(1箇所)
1~1時間半
麻酔 局所麻酔+静脈麻酔 全身麻酔
入院期間 日帰り 約1カ月
切開 1~2㎝ 3~4㎝
術後の動きの制限 なし あり

フローレンス法は、大きな切開をせず、骨を削ったり靭帯を切除したりせず、低侵襲で行われるため、治療後の合併症や症状の再発に関する報告がありません。

●下記の場合はフローレンス法が適応外です。
脊柱管狭窄症の原因が椎間板や骨による影響が大きい場合は、フローレンス法の効果見込みが低いため、適応外となるケースがあります。
骨粗鬆症の場合(特に重度な場合)は骨折のリスクがあるため、適応外となります。
スペーサーの成分や麻酔薬によるアレルギーがあることが知られている方、重度の肥満のある方、うつ病、その他痛みの解釈が困難な状態にある方には使用できません。
また、妊娠中の方には適応していません。

腰部脊柱管狭窄症の治療結果

(Luca Jacopo Pavan, et al. Clinical and radiological outcomes following insertion of a novel removable percutaneous interspinous process spacer: an initial experience. Spinal Neuroradiology. 64(9), 2022より)

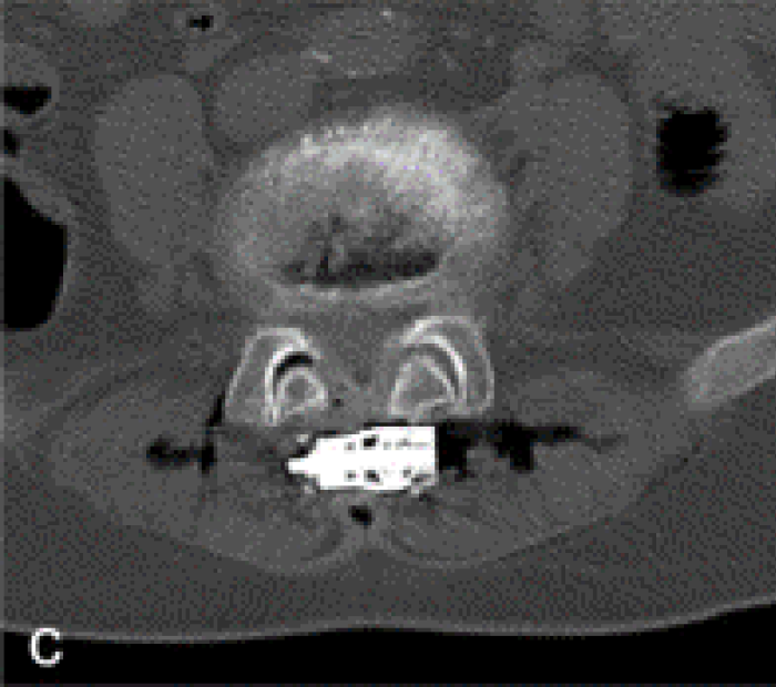
治療結果a

a:L4/L5の椎間板ヘルニアと黄色靭帯肥厚を伴う脊柱管狭窄症のCT画像

治療結果b
治療結果c
治療結果d

b~d:L4/L5の棘突起間にスペーサーを挿入したことによる、棘突起間隔の拡大と黄色靭帯肥厚の軽減が認められる治療後のCT画像

a:L4/L5の椎間板ヘルニアと黄色靭帯肥厚を伴う脊柱管狭窄症のCT画像
b~d:L4/L5の棘突起間にスペーサーを挿入したことによる、棘突起間隔の拡大と黄色靭帯肥厚の
軽減が認められる治療後のCT画像